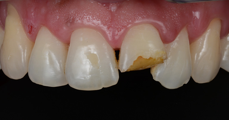
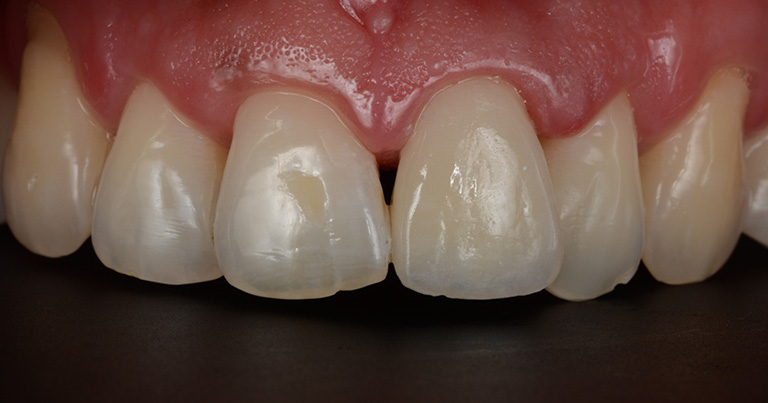
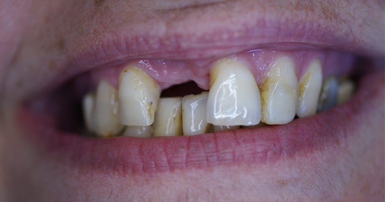
Carillas antes Carillas después

Carillas

¿Qué son las carillas? Son prótesis, láminas de porcelana o de resina compuesta que se pegan en la superficie anterior de los dientes. Las carillas dentales se usan para corregir dientes fracturados, manchados, desalineados, desgastados, desiguales o con separación anormal.

blanqueamiento antes blanqueamiento después

Blanqueamiento

El blanqueamiento dental es un tratamiento dental estético que logra reducir varios tonos el color original de las piezas dentales. Permite eliminar la mayoría de las manchas producidas por causas extrínsecas como el té, café y otras infusiones, cigarrillos y vino tinto, entre otras sustancias y alimentos. Es importante realizar una profilaxis dental (limpieza) antes del tratamiento.

Este puede realizarse de tres formas distintas:

  • En el consultorio
  • En forma ambulatoria (en el domicilio)
  • En forma mixta
Implante corona antes Implante corona después

Implantes

Los implantes son raíces dentales artificiales fabricadas en titanio para devolver la pérdida de una o varias piezas dentarias.

Corona antes Corona después

Corona

Una corona o funda dental es una prótesis dental que se colocan de manera fija y cubre el área de un diente previamente preparado o sobre un implante.

Caries antes Caries después

Tratamiento de caries

La caries dental es una enfermedad multifactorial, producida por la placa bacteriana. Ésta al procesar los azúcares de la dieta libera ácidos que desmineralizan los tejidos del diente. El signo final de la caries dental es la cavitación provocando muchas veces dolor.

Incrustaciones antes Incrustaciones después

Incrustaciones

Las incrustaciones dentales son una restauración conservadora parcial que se realiza cuando hay un daño extenso en la estructura dental y la odontología general (operatoria) no puede restaurarla.