Horarios
WhatsApp
Facebook
Instagram
Casos de éxito
Tratamientos
Blanqueamiento
Bruxismo
Carillas Dentales
Coronas Dentales
Diseño de Sonrisa
Incrustaciones Dentales
Diagnóstico Digital
Extracciones Dentales
Limpieza Dental Profesional
Ortodoncia Invisible
Rehabilitación Oral Completa
Sellantes Dentales
Tratamiento para Caries
Especialidades
Endodoncia
Implantes
Odontología General
Ortodoncia
Periodoncia
Preguntas Frecuentes
Blog
Contacto
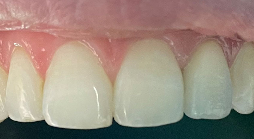
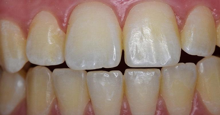
Casos de Exito - Antes y Después
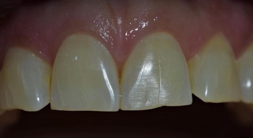
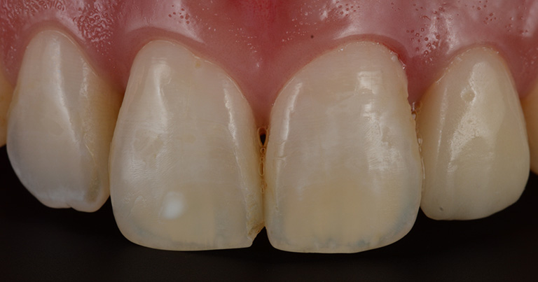
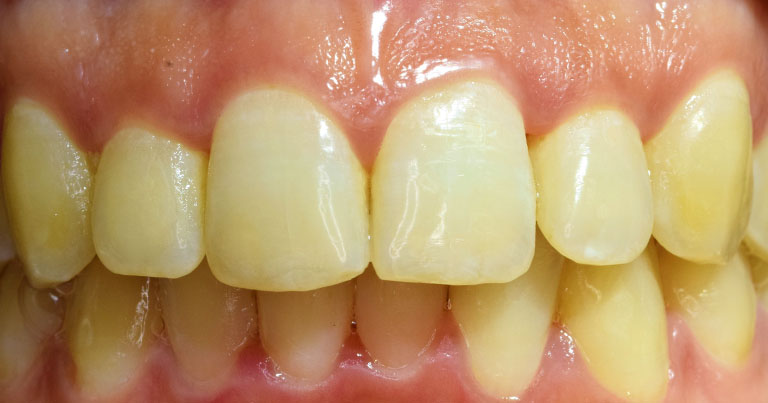
Blanqueamiento
Antes
Después
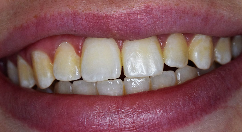
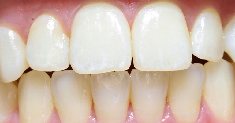
Blanqueamiento
Antes
Después
Blanqueamiento
Antes
Después
Blanqueamiento
Antes
Después
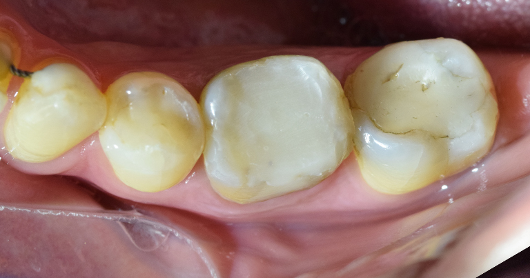
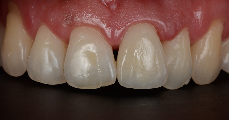
Caries
Antes
Después
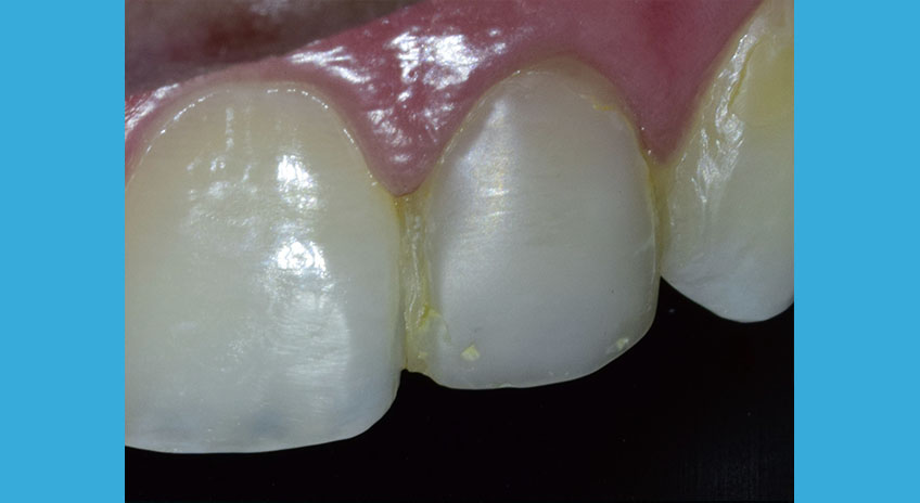
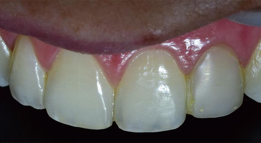
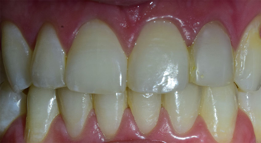
Carillas
Antes
Después
Carillas
Antes
Después
Carillas
Antes
Después
Carillas
Antes
Después
Cierre de Diastema
Antes
Después
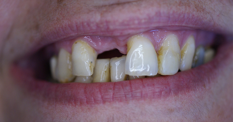
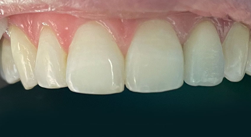
Combinado
Antes
Después
Corona
Antes
Después
Corona
Antes
Después
Implante corona
Antes
Después
Incrustaciones
Antes
Después
Restauracion estetica
Antes
Después
Copyright © 2026 - Consultorio Odontológico Dr. Currao - Todos los derechos reservados |
Políticas de privacidad
Formulario de contacto
A continuación puede dejarnos su consulta.
Nombre Completo
*
Por favor, ingrese su nombre completo (solo letras y espacios, mínimo 3 caracteres)
Correo Electrónico
*
Por favor, ingrese un correo electrónico válido
Móvil / Teléfono
*
Por favor, ingrese un número de teléfono válido (mínimo 7 caracteres, solo números, espacios, +, -, paréntesis)
Mensaje
*
Por favor, ingrese un mensaje (mínimo 10 caracteres)
Horarios de atención
Odontología General
Endodoncia
Periodoncia
Odontólogia General y Protesis
Lunes
14 a 18 hs
Martes
10 a 13/14 a 18 hs
Miércoles
14 a 18 hs
Jueves
10 a 13/14 a 18 hs
Viernes
14 a 18 hs
Endodoncia
Lunes
10 a 19 hs
Martes
10 a 19 hs
Miércoles
10 a 19 hs
Jueves
10 a 19 hs
Viernes
10 a 19 hs
Periodoncia
Lunes
10 a 19 hs
Martes
10 a 19 hs
Miércoles
10 a 19 hs
Jueves
10 a 19 hs
Viernes
10 a 19 hs