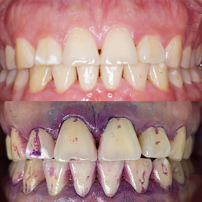
En nuestra clínica el Dr. Matias Fontanetto realiza un novedoso índice para evaluar el sangrado y valoración de la técnica de cepillado por parte del paciente.
Este índice llamado BOB del inglés (Sangrado sobre el nivel de higiene Oral) recién se está implementado en Argentina por medio del cual nuestros pacientes aprenden la técnica de cepillado Inter dental correcta e individualizada para su boca.
Es un valor objetivo de sangrado que se mide en todos los controles que el paciente realiza en nuestra clínica, podemos observar el promedio de mejora, y los diámetros de cepillos Inter dentales que el paciente necesita.
Los resultados obtenidos y las recomendaciones del profesional son compartidos via mail al correo electrónico de nuestros pacientes cada sesión.

Con esos datos los pacientes ingresan a una plataforma digital donde son guiados en la elección y tipo de cepillo que debe usar en su caso particular; y los cuidados que debe realizar a la hora del cepillado, siempre siguiendo las recomendaciones del profesional.

Esta evaluación no está cubierta por sistemas de salud, consultar por el tratamiento.
Consultas y reservas de turno al 4813-0237